폐부종은 혈관과 폐조직 사이의 체액교환 기능 장애로 인한 폐의 수분 함량이 증가한 것입니다. 이 질환은 호흡기 기능에 심각한 영향을 줄 수 있으며, 급성 호흡 부전의 더 흔한 임상적 원인입니다.
주요 임상 증상은 극도의 호흡 곤란, 무호흡 및 저호흡, 청색증, 발한, 다량의 흰색 또는 분홍색 거품성 가래가 있는 발작 기침, 폐의 대칭적 습식(뾰루지 또는 나비 모양)을 보여주는 X-선 및 흉부 방사선 사진 등으로 나타납니다. 초기 동맥혈 가스 분석에는 낮은 O2, 낮은 CO2 분압, 심한 O2 결핍, 이산화탄소 보유 및 혼합 산증이 포함될 수 있습니다. 폐부종 증
상 및 징후와 폐부종환자의 검사에 대해 알아 보도록 하겠습니다.

폐부종 증상 및 징후
간질성 폐부종의 단계에서 환자는 기침, 흉부 압박감, 경미한 얕은 호흡 증상이 빠르게 나타냅니다. 신체검사에서 폐의 천명음이 들릴 수 있으며 심장성 폐부종 징후를 발견 할 수 있습니다. 폐부종액이 폐포로 침투 한 후, 환자는 심한 호흡 곤란으로 창백하고 청색증이 생겨서 많은 양의 흰색 또는 피의 거품성 가래를 기침하고 폐 전체의 젖은 폐를 기침 할 수 있습니다. 혈액가스 분석에서 저산소혈증, 심지어 CO2 보유 및 혼합 산증도 증가 시켰다는 것을 확인 했습니다.
전형적인 급성 폐부종은 병리학적 변화에 따라 아래와 같은 기간으로 나눌 수 있으며, 각 기간의 증상 및 징후는 다음과 같습니다.
1. 간질성 부종 : 주로 야행성 호흡 곤란으로 나타나고, 땀과 불안감, 입술의 청색증, 쉰 목소리, 혈압 증가, 빈맥 마른 폐 또는 천명음이 폐 모두에서 들릴 수 있습니다.
2. 폐포 부종 단계 : 주로 질식에 대한 두려움과 함께 심한 호흡 곤란과 앉아서 호흡하며 얼굴 빛이 회색입니다. 피부와 입술의 현저한 청색증, 발한, 기침 및 다량의 분홍색 거품 가래가 나오고 요실금 증상을 유발할 수 있으며, 두 폐 모두 갑작스레 젖은 점들로 덮여 있습니다.
3. 충격 기간 : 단기간에 많은 양의 혈장 유출이 발생하여 혈액량이 급격히 감소하고 전체적 충격이 발생하는 동시에 심근 수축이 크게 약화되어 심혈관 쇼크가 발생하며 호흡 곤란, 혈압 강하 및 젖은 피부, 핍뇨(Oliguria) 또는 무뇨증(anuria) 등의 충격 증상과 함께 의식 변화가 동반됩니다.
4. 말기 : 혼수 상태에서 종종 심폐 부전으로 사망에 이를 수 있습니다.

폐부종환자의 검사
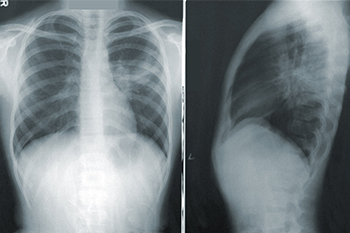
X-선은 주로 흐려지고 증가된 폐 혈관조직, 두드러지고 불분명한 그림자, 폐광 투과율 감소 및 폐 전단 간격 확대로 나타납니다. 흉막에 수직으로 흐르는 컬리 B(Kerley B)선은 두 개의 폐의 하부 늑골 다이어프램 각도 영역에서 볼 수 있으며, 때로는 상부 폐가 대각선으로 구부러져 있고 컬리 A(Kerley A)선이 컬리 B(Kerley B)선보다 깁니다.
폐포 부종은 주로 치밀한 폐포 그림자로 나타나며, 이는 서로 불규칙하게 병합되는 퍼지 그림자입니다. 확산 분포는 한쪽 또는 하나의 잎으로 제한되거나, 혈관하고 신경이 기관과 접하는 문(hilum)의 양쪽에서 확장되어 전형적인 나비 모양의 그림자로 점차 사라집니다. 때때로 소량의 흉막 삼출이 동반됩니다. 그러나 위에서 언급한 증상은 폐 함량이 30% 이상 증가한 경우에만 발생할 수 있습니다. CT와 MRI 검사는 폐 혼잡과 폐 간질 부종을 정량화하고 심지어 구별 할 수 있습니다.
일상 생활에서 폐부종 예방 및 치료에 주의를 기울여야 하며, 증상이 보인다면 더 늦기 전에 진료기관을 찾아 서둘러 치료를 시작해야 합니다.
'건강정보 > 건강가이드' 카테고리의 다른 글
| 건강 음식이 영향 주는 신체 부위별 관리와 보호 10가지 (7) | 2020.04.17 |
|---|---|
| 입냄새 제거 차 구취제거에 좋은 차 13가지 (12) | 2020.04.12 |
| 심근염 확장성 심근병증 원인과 후유증 및 합병증 (34) | 2020.04.02 |
| 스트레스 불면증 증상과 불면증 극복하는 법 (39) | 2020.03.25 |
| 당뇨에 좋은 음식 12가지로 당뇨식단 꾸미기 (36) | 2020.03.19 |
댓글